Новое средство мужской контрацепции обратимо подавляет сперматогенез у мышей
Исследователи из США, Нидерландов и Австралии разработали и опробовали на мышах новый подход к мужской контрацепции. Сначала они получили мутантную линию мышей, у которых сперматогенез останавливается на стадии круглых сперматид. Это происходило из-за рассинхронизации экспрессии генов, отвечающих за созревание сперматозоида. Фенотип мутантных мышей воспроизвели с помощью MS-275 — селективного ингибитора гистоновой деацетилазы. У мышей, получавших препарат перорально, сохранялся уровень тестостерона и либидо, но не было зрелых сперматозоидов. Через 60 дней после окончания его приема репродуктивная функция восстанавливалась.
Выбор средств контрацепции у мужчин ограничен презервативами (которые не обеспечивают 100%-ую защиту) и вазектомией (инвазивной процедурой, которую не всегда можно обратить вспять). Другие подходы, связанные с подавлением сперматогенеза, созревания спермы или оплодотворения, не получили широкого распространения из-за неполной защиты и большого количества побочных эффектов.
Неудачи в разработке новых средств контрацепции связаны в том числе со сложностью сперматогенеза. Ретиноевая кислота (RA) связывается с рецептором (RAR) и активирует серию программ по самовозобновлению и дифференцировке сперматогониальных стволовых клеток (SSC). Ученые пробовали воздействовать на выработку RA и на ее связывание с RAR, однако RA играет важную роль во многих органах, и вмешательство в эти процессы приводит к различным побочным эффектам. Нужен другой подход, который сможет прекратить сперматогенез, не повредив при этом репродуктивную систему и сохранив популяцию SSC. Исследователи из США, Нидерландов и Австралии разработали новый подход к мужской контрацепции.
В отсутствие лиганда (RA) RAR связывается с корепрессорами, такими как SMRT (silencing mediator of retinoid and thyroid hormone receptors), и гистоновыми деацетилазами HDAC, формируя комплекс RAR–SMRT–HDAC, который ограничивает доступность хроматина к транскрипционному комплексу. При связывании RA с RAR тройной комплекс распадается.
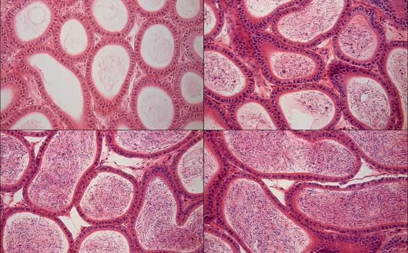
Авторы генетически воздействовали на SMRT и препятствовали его связыванию с RAR у мышей. SMRT экспрессируется в клетках яичек, особенно активно — в клетках Сертоли. Мутантные мыши SMRTmRID были стерильными. Уровни тестостерона и лютеинизирующего гормона у них были нормальными, а фолликулостимулирующего гормона — повышенными, что говорит о первичном нарушении сперматогенеза. Половое поведение мутантных мышей не отличалось от контролей, при этом зрелых сперматозоидов у них не было. Остановка сперматогенеза, по-видимому, происходила на стадии круглых сперматид.
Дефицит витамина А (прекурсора RA) блокировал сперматогенез на стадии сперматогоний у контрольных мышей. Однако у мышей SMRTmRID этого не происходило, что указывает на важную роль комплекса SMRT-RAR в подавлении транскрипции.
Переход от стадии круглых сперматид к стадии удлиненных сперматид требует синхронной замены гистонов на специфичные протамины. У мутантных мышей этот процесс был нарушен, как и циклический паттерн генной экспрессии. Рассинхронизацию сперматогенеза связывают с потерей RA-направляемой программы. Популяция SSC при этом сохраняется, что указывает на обратимость процесса. Авторы подробно проанализировали механизм нарушения сперматогенеза.
Ученые показали, что фенотип мутантных мышей можно воспроизвести, ингибировав HDAC (компонент комплекса RAR–SMRT–HDAC) фармакологическими препаратами. Селективный ингибитор MS-275, принимаемый перорально, хорошо переносился мышами. Уровень тестостерона мышей дикого типа, получавших MS-275, не менялся, но препарат снижал размер яичек и подавлял сперматогенез. Спустя 60 дней после прекращения приема препарата сперматогенез полностью восстанавливался, мыши снова могли давать потомство, причем отклонений в развитии мышат выявлено не было.
Кандидатное противозачаточное средство для мужчин испытали на мышах
Источник:
Suk-Hyun Hong, et al. Targeting nuclear receptor corepressors for reversible male contraception // PNAS. 2024. 121 (9) e2320129121, DOI: 10.1073/pnas.2320129121
Меню
Все темы
0





