Токсоплазма вызывает ферроптоз в клетках сетчатки
Заражение Toxoplasma gondii часто затрагивает сетчатку глаза. Используя мышиную модель, японские ученые показали, что причиной поражения сетчатки глаз инфицированных животных был ферроптоз — один из типов клеточной гибели, протекающий при накоплении в клетках железа. Хелатор деферипрон уменьшал поглощение железа и улучшал состояние сетчатки, снижая воспаление и предотвращая ферроптоз у мышей.
Credit:
Hiroki Kaneko, Department of Ophthalmology, Nagoya University Graduate School of Medicine | Пресс-релиз
Глазной токсоплазмоз — серьезное инфекционное заболевание, возникающего при заражении Toxoplasma gondii и угрожающее зрению. Диагностика заболевания основана на клиническом наблюдении фокального некротизирующего ретинохориоидита. Лечение глазного токсоплазмоза имеет ограниченную эффективность. Есть необходимость в новых способах диагностики и лечения заболевания.
В журнале Redox Biology опубликовано исследование механизмов развития глазного токсоплазмоза. Японские ученые выяснили, что при этом заболевании клетки сетчатки погибают путем ферроптоза, при котором происходит чрезмерное накопление железа в клетках. При токсоплазмозе это проявлялось как усиление перекисного окисления липидов, снижение экспрессии глутатионпероксидазы-4 и митохондриальная деформация фоторецепторов. Лечение мышей с глазным токсоплазмозом деферипроном снижало накопление железа клетками сетчатки и воспаление, а симптомы глазного токсоплазмоза проходили за семь дней.
Сначала исследователи сравнили уровни железа в стекловидном теле у пациентов с различными заболеваниями глаз: макулярным разрывом, пролиферативной диабетической ретинопатией, острым некрозом сетчатки, вызванным вирусом простого герпеса или вирусом герпеса III типа, и глазным токсоплазмозом. У пациентов с глазным токсоплазмозом концентрации железа в стекловидном теле была самой низкой.
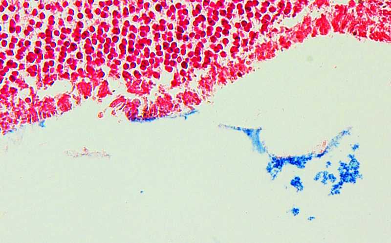
Далее ученые сравнили концентрацию железа непосредственно в сетчатке глаз, полученных в результате аутопсии от человека с глазным токсоплазмозом, вторичным по отношению к СПИДу, и от донора со здоровыми глазами. Окрашивание срезов сетчатки берлинским синим показало места накопления железа на сетчатке глаза, инфицированного токсоплазмозом, а на сетчатке нормального глаза отсутствовали участки отложения этого металла. В совокупности это показывает, что при токсоплазмозе железо из стекловидного тела перераспределяется в область сетчатки и накапливается там в больших количествах.
Для дальнейших исследований были получены мышиные модели глазного токсоплазмоза. Для этого мышей инфицировали T. gondii (штамм Pru), а через семь дней у них развивался токсоплазматический ретинохориоидит. Одновременно с возбудителем токсоплазмоза мышам вводили интравитреально (в глазное яблоко) изотоп железа 57Fe, который крайне редко встречается в природе. С помощью этого изотопа ученые отслеживали отложение железа при инфекции T. gondii на сетчатке глаза. Используя метод анализа химических элементов и изотопов LA-ICP-MS, ученые установили, что через 28 дней после инфицирования мышей T. gondii в клетках сетчатки у них накапливалось железо.
На гистологических срезах сетчатки инфицированных животных обнаруживались маркер окислительного стресса MDA и продукт перекисного окисления липидов 4-HNE. Напротив, экспрессия белка GPx4, предотвращающего ферроптоз и защищающего липиды от перекисного окисления, была снижена. Просвечивающая электронная микроскопия показала уменьшение размера митохондрий и снижение количества крист в клетках сетчатки зараженных мышей. Эти признаки указали на протекание в клетках сетчатки ферроптоза при инфицировании T. gondii.
Затем исследователи оценили экспрессию Tfrc, Ftl, Fth, Fpn и Dmt1 в клетках сетчатки зараженных мышей. В целом анализ показал повышенную экспрессию Tfrc и снижение уровня Fpn по сравнению со здоровыми животными. Tfrc — это рецептор трансферрина, отвечающий за эндоцитоз железа из внешней среды в клетку, а Fpn — транспортный белок, переносящий железо из клетки во внешнюю среду. То есть поглощение железа клетками было повышено за счет белка Tfrc, а выделению излишек железа за пределы клетки препятствовала сниженная экспрессия белка Fpn.
Авторы также изучили терапевтический потенциал деферипрона для лечения токсоплазматического ретинохориоидита. Как интравитреальное, так и внутривенное введение препарата мышам, инфицированным токспоплазмой, приводило к снижению накопления железа в клетках сетчатки и уровня IL-6, что говорит об уменьшении воспаления. Кроме того, через неделю после введения препарата у животных не наблюдалось признаков ретинохориоидита. Но оказалось, что деферипрон не предотвращал размножение токсоплазмы в клетках сетчатки, а только способствовал снижению накопления железа. Это было показано в экспериментах, в ходе которых токсоплазмой заражали культуры клеток, обработанные и не обработанные деферипроном. В обоих случаях T. gondii беспрепятственно размножалась в клеточных культурах.
Таким образом, в исследовании было показано, что глазной токсоплазмоз провоцирует ферроптоз в клетках сетчатки, а предотвратить последствия этого заболевания можно с помощью деферипрона, препятствующего накоплению железа в клетках сетчатки. Авторы исследования пишут, что маркеры ферроптоза могут быть использованы для диагностики глазного токсоплазмоза, а деферипрон имеет терапевтический потенциал для устранения симптомов этого заболевания.
Источник:
Kazuhisa Yamada, et al. Retinal ferroptosis as a critical mechanism for the induction of retinochoroiditis during ocular toxoplasmosis // Redox Biology, Volume 67, 2023, 102890, ISSN 2213-2317, DOI: 10.1016/j.redox.2023.102890
Меню
Все темы
0





