Антитело к (про)рениновому рецептору замедляет рост глиобластомы
Японские ученые протестировали моноклональное анититило к рецептору (P)RR, который участвует в Wnt-сигналинге, на клетках глиобластомы. Антитело снижало способность клеток к пролиферации, индуцировало их апоптоз и замедляло рост опухоли у модельных мышей.
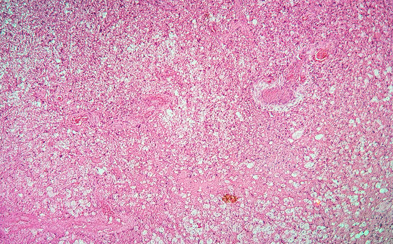
Глиобластома — это агрессивная опухоль головного мозга с неблагоприятным прогнозом для пациентов. Лечение проводится в основном при помощи хирургического вмешательства, химиотерапии и лучевой терапии. В среднем пациенты живут не более 15 месяцев после постановки диагноза, только 27% из них живут дольше двух лет.
Согласно недавним исследованиям, развитие глиобластомы запускается стволовыми клетками рака. Эти клетки обладают способностью к самообновлению и дифференциации во множество типов. Глиобластома — это разновидность глиомы, и одним из способов борьбы с ней может быть воздействие на стволовые клетки глиомы (СКГ). Такой подход рассмотрели японские ученые и рассказали о результатах в Scientific Reports.
Важную роль в выживаемости СКГ играет сигнальный путь Wnt — он регулирует их стволовость, пролиферацию и выживаемость. Участники этого пути могут быть мишенями для сдерживания роста глиом. Авторы новой работы сосредоточились на (про)рениновом рецепторе (P)RR.
Изначально этот рецептор рассматривался в качестве участника ренин-ангиотензиновой системы, однако позже выяснилось, что он входит в рецепторный комплекс Wnt и вовлечен в развитие центральной нервной системы. Недавние исследования показали, что у мышей с нокаутом гена (P)RR в нейронах замедлено обновление стволовых клеток. Кроме того, сайленсинг гена (P)RR in vitro при помощи малых интерферирующих РНК приводит к снижению пролиферации клеток человеческой глиомы.
В новой работе ученые проверили эффективность моноклонального антитела к (P)RR на человеческих клеточных линиях глиобластомы (U251MG и U87MG) и СКГ (MGG23). В экспериментах in vitro антитело снижало экспрессию компонентов сигнального пути Wnt и маркеров стволовости во всех клеточных линиях. Клетки теряли способность к пролиферации, миграции, адгезии, хуже формировали сфероиды. Кроме того, при обработке антителом они раньше и больших количествах претерпевали апоптоз.
Действие антител также проверили на ксенографтных мышиных моделях. Мышам с иммунодефицитом вживляли под кожу клетки U87MG, а затем внутрибрюшинно вводили антитело. Через 20 дней после лечения объем опухолей был значительно меньше, чем у контрольных мышей, получивших плацебо.
Авторы делают вывод, что антитело к (P)RR ингибирует глиомагенез. Таким образом, (P)RR может стать новой мишенью для терапии глиобластомы. Однако использование моноклональных антител в качестве терапевтических агентов требует дополнительных исследований.
Разработан гидрогель для уничтожения остатков глиобластомы после хирургического вмешательства
Меню
Все темы
0






