Биоинженерная микоплазма защитила легкие мышей от синегнойной палочки
Испанские исследователи модифицировали бактерию Mycoplasma pneumoniae и использовали ее для терапии легочной инфекции, вызванной синегнойной палочкой. Они удалили у микоплазм гены, ответственные за патогенез, и добавили трансгены, которые кодируют ферменты, нацеленные на полисахариды биопленки, и антибактериальный пептид пиоцин. Введение модифицированных микоплазм в легкие мышей, зараженные синегнойной палочкой, увеличило выживаемость грызунов и заметно улучшило состояние легких.
Синегнойная палочка Pseudomonas aeruginosa часто вызывает внутрибольничные инфекции, поражая пациентов, подключенных к аппаратам искусственной вентиляции легких. Резистентность бактерий к антибиотикам и склонность к образованию нерастворимых биопленок резко осложняет борьбу с инфекцией. Примерно каждый восьмой пациент неотложного отделения, заразившийся P. aeruginosa, погибает от пневмонии и связанных с ней осложнений.
Команда испанских исследователей модифицировала бактерии Mycoplasma pneumoniae, чтобы использовать их как «живое лекарство» для терапии антибиотикорезистентной легочной инфекции, вызываемой P. aeruginosa. В природе M. pneumoniae также может вызывать легочные инфекции и умеет атаковать бактерий-конкурентов, таких как синегнойная палочка. Ученые впервые применили инженерную версию M. pneumoniae с подавленной патогенностью и сохраненной способностью атаковать клетки конкурентов.
Микоплазмы — одни из самых маленьких из известных видов бактерий. Способность Mycoplasma вырабатывать токсины, подавляющие активность конкурентных штаммов патогенных бактерий, а также отсутствие клеточной стенки и просто устроенный геном из 684 генов делает их идеальным материалом для создания различных терапевтических биоинженерных конструкций.
Авторы изменили штамм M. pneumoniae, удалив гены, ответственные за патогенез. Удаление этих генов не повлияло на способность инженерного штамма колонизировать легкие мышей.
Модифицированная микоплазма с редуцированным геномом получила три трансгена ферментов, нацеленных на разные полисахариды, из которых состоит биопленка, и способность к экспрессии разных вариантов антибактериального пептида пиоцина, который убивает большинство штаммов синегнойной палочки.
По словам авторов, модифицированные микоплазмы пробивают дыры в клеточных стенках патогенных микроорганизмов при помощи токсинов, естественным образом вырабатываемых бактериями для уничтожения или подавления роста конкурентных штаммов микробов, что позволяет молекулам лекарственных препаратов проникнуть внутрь синегнойных палочек.
Чтобы проверить работоспособность биоинженерной микоплазмы, авторы исследования собрали биопленки из эндотрахеальных трубок у пациентов в отделениях интенсивной терапии барселонской клиники. Они обнаружили, что воздействие модифицированной M. pneumoniae вызывает растворение биопленок, образованных различными клиническими штаммами P. aeruginosa со множественной лекарственной устойчивостью.
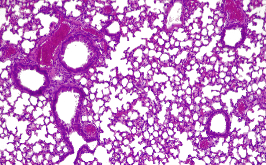
Затем ученые проверили модифицированный штамм M. pneumoniae на мышиной модели острой легочной инфекции, вызванной синегнойной палочкой. Введение модифицированных микоплазм в органы дыхания грызунов привело к заметному улучшению состояния их легких. Микоплазмы удвоили выживаемость мышей по сравнению с контрольной группой без лечения. Гистопатология легких показала выраженное снижение поражения легких, также в легких мышей были снижены концентрации маркеров воспаления. Инженерная бактерия активно уничтожала синегнойные палочки при помощи пиоцинов и ферментов, растворяющих биопленки. Введение однократной высокой дозы препарата не выявило признаков токсичности в легких. После завершения терапии иммунная система животных полностью избавилась от модифицированных бактерий в течение четырех дней.
Инженерная M. pneumoniae приобрела способность продуцировать различные терапевтические молекулы и хорошо работает в сочетании с низкими дозами антибиотиков, которые сами по себе не эффективны против синегнойной палочки. Поскольку у микоплазм отсутствует клеточная стенка, авторы использовали сочетания с антибиотиками, воздействующими на пептидогликаны клеточной стенки бактерий.
По мнению авторов, проведенное исследование демонстрирует высокий потенциал использования модифицированных микоплазм для устранения основной причины внутрибольничных инфекций. Успешное завершение опытов с антибиотикорезистентными легочными инфекциями, вызванными синегнойной палочкой, открывает дорогу для клинических испытаний «лечебных» бактерий в терапии других респираторных болезней.
Дисбиоз кишечника ухудшает исход легочной инфекции
Источник:
Mazzolini R., et al. Engineered live bacteria suppress Pseudomonas aeruginosa infection in mouse lung and dissolve endotracheal-tube biofilms // Nature Biotechnology (2023), published online 19 January 2023. DOI: 10.1038/s41587-022-01584-9
Меню
Все темы
0






