Донорские островковые клетки приживаются в сальнике и производят инсулин
Команда ученых из США и Китая предложила пересаживать аллогенные островки поджелудочной железы в сальник реципиента для терапии диабета 1 типа. Подход протестировали на макаках-крабоедах. Модификация сальника во время трансплантации и особый протокол иммуносупрессии обеспечили нормальный метаболизм глюкозы в течение трех месяцев.
Трансплантация островков поджелудочной железы считается многообещающим подходом к лечению диабета 1 типа. В недавнем клиническом испытании были подтверждены безопасность и эффективность введения островков от умерших доноров в воротную вену пациентов. По кровотоку островки попадают в печень, однако они плохо приживаются там: сразу после трансплантации погибает более 50% бета-клеток. Чтобы решить эту проблему, ученые ищут более благоприятные сайты трансплантации. Сальник стал одним из кандидатов еще 50 лет назад, его потенциал подтвердили в экспериментах на грызунах и собаках, однако не было получено достаточно данных, чтобы проводить опыты на низших приматах и человеке. Авторы новой работы показали на макаках-крабоедах, что сальник вполне подходит в качестве сайта трансплантации островков.
В сальник трем макакам с диабетом, индуцированным стрептозотоцином (это вещество токсично для бета-клеток), пересаживали островки от макак-доноров по схеме «один донор — один реципиент». Чтобы предотвратить отторжение трансплантата, животным вводили препараты для иммуносупрессии по адаптированной схеме: четыре дозы тимоглобулина, две дозы ритуксимаба и рапамицин в течение всего исследования.
Саму трансплантацию проводили по схеме, позволяющей создать для аллогенных островков благоприятную среду: сначала суспензию островков в аутологичной плазме реципиента помещали на поверхность сальника, затем наносили поверх суспензии рекомбинантный тромбин, а поверх тромбина — еще один слой плазмы. После этого сальник складывали так, чтобы трансплантат оказался внутри, и фиксировали его фибриновым клеем.
Трансплантация и восстановление после нее у всех макак прошли без осложнений. Ученые установили срок наблюдения в 90 дней. В первые 28 дней после операции всем макакам вводили 1–2 единицы инсулина ежедневно, чтобы поддержать аллогенные островковые клетки и облегчить их приживление. Животные быстро достигли нормогликемии. Уровень глюкозы крови, измеренной натощак, держался в пределах нормы для здоровых макак-крабоедов. Макаки, обозначенные как животное 1 и животное 2 (A1 и A2), прошли глюкозотолерантный тест через месяц после трансплантации. Динамика глюкозы была схожа с таковой у здоровых животных. Макака A1 также прошла тест через три месяца после трансплантации — у нее наблюдались улучшения показателей. Животные A1 и A2 незначительно потеряли в весе сразу после операции, но затем стабильно набирали вес. Это означает, что нормогликемия не была связана с недоеданием.
Состояние макаки A3 ухудшилось на 32-й день после трансплантации. Уровень глюкозы в крови начал скакать, повысились концентрации T-клеток и воспалительных хемокинов. Кроме того, был зарегистрирован высокий титр антител к донорским клеткам. Основываясь на симптомах и результатах анализов, ученые пришли к выводу, что животное подхватило инфекцию, которая стала причиной отторжения трансплантата. Макака не отвечала на терапию в течение двух недель. Ее пришлось умертвить до установленного срока.
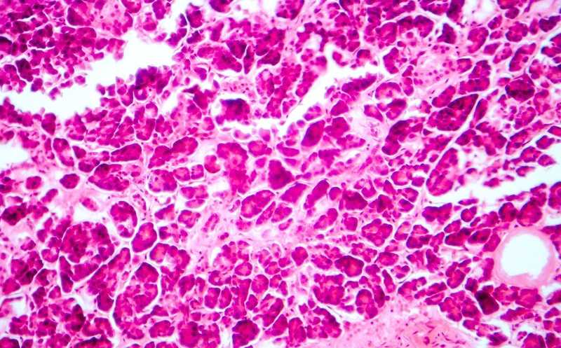
Ткани макак A1 и A2 проанализировали на 90-й день, как и было запланировано. Донорские островки были в хорошей сохранности и, согласно результатам иммуноокрашивания, производили инсулин. Кроме того, в образцах трансплантата присутствовали клетки, экспрессирующие CD31 и β-III-тубулин, что свидетельствует о реваскуляризации и реиннервации.
Ученые также анализировали репертуары лимфоцитов у макак до трансплантации и во множестве временных точек после. Режим иммуносупрессии эффективно устранил B- и T-клетки. У животных 1 и 2 количество T-клеток оставалось сниженным в течение первых двух месяцев и только к концу эксперимента начало постепенно восстанавливаться. B-клетки у этих макак в первые два месяца полностью отсутствовали. Кроме того, у них не было антител к донорским островкам. Уровни воспалительных цитокинов и хемокинов держались в пределах нормы.
Таким образом, работа, во-первых, продемонстрировала пригодность биоинженерного сальника в качестве сайта трансплантации аллогенных островков поджелудочной железы, а во-вторых, подтвердила эффективность протокола иммуносупрессии. По словам авторов, в настоящее время планируется клиническое исследование описанного подхода.
Подкожная трансплантация островков Лангерганса позволяет контролировать диабет 1 типа
Источник
Hongping Deng, et al. Bioengineered omental transplant site promotes pancreatic islet allografts survival in non-human primates. // Cell Reports Medicine, Published:March 01, 2023; DOI: 10.1016/j.xcrm.2023.100959
Меню
Все темы
0






